Comparison of skeletal stability with rigid and wire fixation in patients who have undergone Le Fort I and Anterior Segmental Maxillary Osteotomy

K. K. Sivaprasad1, Varghese Mani2, Sankar Vinod Vichattu3, Arun George3, P. Ranjith Kumar1

1Department of Dentistry, Govt. Medical College, Palakkad, Kerala, India, 2Dean, Mar Baseliose Dental College, Kothamangalam, Kerala, India, 3Department of Oral and Maxillofacial Surgery, Mar Baseliose Dental College, Kothamangalam, Kerala, India


Address for correspondence: Dr. P. Ranjith Kumar, Department of Dentistry, Govt. Medical College, Palakkad - 678 013, Kerala, India. E-mail: drranjithp@hotmail.com


Submitted: 06-Feb-2024

Revised: 25-Apr-2024

Accepted: 24-Jun-2024

Published: 16-Oct-2024

DOI: 10.4103/sidj.sidj_1_24

Saint Int Dent J 2024;8:3-12

Copyright: © 2024 The Saint's International Dental Journal

Licence

This is an open access journal, and articles are distributed under the terms of the Creative Commons Attribution-NonCommercial-ShareAlike 4.0 License, which allows others to remix, tweak, and build upon the work non-commercially, as long as appropriate credit is given and the new creations are licensed under the identical terms.

Disclaimer:

This article was originally published by Wolters Kluwer Medknow Publications & Media Pvt Ltd and has now been officially transferred to Society of Dental Research & Education due to a change in publishing entity.


ABSTRACT

Background: Maxillary superior repositioning is widely regarded as the most stable procedure in orthognathic surgery, requiring minimal instruments for stabilization. Rigid fixation is considered the ideal method for long-term stability, leading to improved anatomic structures, enhanced recovery of bite forces, and better bite function.

Objective: To compare the skeletal stability following Le Fort I and anterior maxillary osteotomy with wire osteosynthesis and rigid fixation.

Materials and Methods: A total of 16 patients, including one male and 15 females, underwent Le Fort I and anterior segmental maxillary osteotomy along with fixation using either wire osteosynthesis or rigid fixation for correction of vertical and anteroposterior maxillary excess. Patients were assessed at preoperative, 1-week postoperative, and 6-month postoperative stages using a lateral cephalogram to evaluate skeletal stability.

Results: The wire osteosynthesis group showed significant differences in posterior maxillary vertical measurements compared to the rigid fixation group. However, there was no significant difference in anterior vertical and anteroposterior skeletal measurements between the two groups.

Conclusion: Wire osteosynthesis is a stable form of fixation for superior repositioning with segmentation of the maxilla for correction of vertical and antero-posterior excess.

Keywords: Anterior segmental maxillary osteotomy, Le Fort I osteotomy, rigid fixation, skeletal stability, wire osteosynthesis


INTRODUCTION

Orthognathic surgery is performed to reorganize the facial skeleton, correcting deformities to achieve harmoniously alignment with the skull base for perfect dental occlusion. Le Fort I osteotomy addresses various maxillary issues, including anteroposterior hypoplasia or hyperplasia, vertical excess or deficiency, anterior open bite, and transverse discrepancies. Skeletal stability post-surgery depends on factors such as orthodontics, scar retraction, nasal septum interference, fixation type, and occlusion quality. Ongoing discussions are exploring the intriguing balance between the skeletal stability and occlusal harmony of wire osteosynthesis versus rigid internal fixation.

In 1859, Von Langenbeck pioneered maxillary osteotomy. Subsequently, in 1868, David Williams Cheever of Boston executed a groundbreaking procedure, known as a Le Fort I osteotomy, to eliminate a sizable nasopharyngeal polyp. This technique, involving bilateral osteotomies, was later recognized as Cheever’s “double operation,” representing a significant milestone in the field.[1-3] The Le Fort I osteotomy, first introduced by Wassmund[4,5] in 1927, addressed anterior open bite. William Bell[6] further substantiated the biological foundation for the safety provided by Le Fort I downfracture osteotomy. Gunther Cohn-Stock,[7,8] known as the father of maxillary orthognathic surgery, introduced the anterior segmental maxillary osteotomy in 1921. This diversified the techniques, leading to modified designs of AMO with the downfracture methods gaining prominence, employed by Wassmund[4] and Wunderer.[9] The Wassmund method ensures optimal vascularity,[4] and Wunderer combined palatal flap elevation with labial pedicle preservation, and down-fracture utilizes circum-vestibular incision. Esthetic and functional success outcomes of orthognathic surgery hinge on long-term stability, with fixation methods such as rigid fixation and wire osteosynthesis playing crucial roles. Surgical directions, such as superior maxillary repositioning, impact post-surgical stability, emphasizing the multifaceted considerations in orthognathic procedures.

MATERIALS AND METHODS

Research design

A comparative research design included preoperative (T1), 1-week postoperative (T2), and 6-month postoperative (T3) measurement approach.

Sampling method

  • A. Population: All the patients who reported for correction of facial deformity.

  • B. Sample size: A sample of 16 patients (one male and 15 female) in equal distribution of eight patients in two groups was formed based on the inclusion and exclusion criteria

    • a. Inclusion criteria

      • i. Patients demonstrating maxillary excess for which surgical intervention was necessary.

      • ii. Maxillary superior repositioning with concurrent mandibular chin advancement performed was considered.

    • b. Exclusion criteria

      • i. Patients with craniofacial syndromes and associated facial deformity.

      • ii. Patients who had to undergo two jaw surgeries for correction of facial deformity.

    • c. Selection: Samples were selected using the purposive sampling method based on the inclusion and exclusion criteria.

Surgical procedure

Patients in Group I were treated with wire fixation using 26-gauge stainless steel wire [Figure 1], and Group II received rigid internal fixation using titanium plates and screws [Figure 2]. Both groups underwent Le Fort I and anterior maxillary osteotomy to correct maxillary excess in the vertical and anteroposterior directions. Fourteen patients had underwent concurrent genioplasty for correction of chin deficiency.

thumb

Figure 1: Maxilla stabilized with wire osteosynthesis

 
thumb

Figure 2: Maxilla stabilized with rigid fixation

 

Materials and measurements

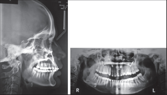
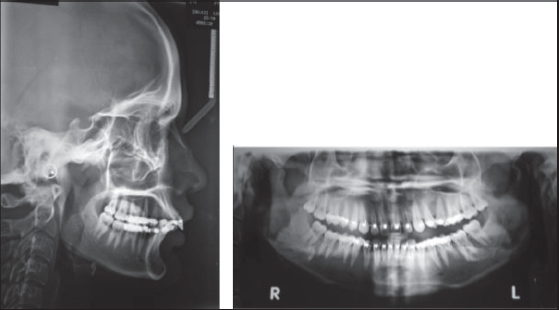
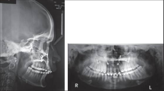
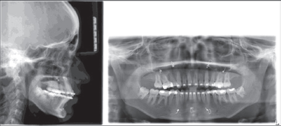
a. The skeletal stability for both Group I [Figures 35] and Group II [Figures 68] was measured at three different periods; preoperative (T1), 1-week postoperative(T2), and 6-month postoperative (T3) using a lateral cephalogram and analyzed using cephalometric analysis. The cephalometric analysis was carried out considering the following points[4] [Figure 9].

  • i. Frankforts horizontal plane (FH) was taken as the horizontal reference plane

  • ii. PNS (posterior nasal spine)

  • iii. N (Nasion)

  • iv. M point (center point of the widest area of the premaxilla)

thumb

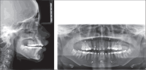
Figure 3: Preoperative lateral cephalogram and orthopantamogram-group I

 
thumb

Figure 4: 1-week postoperative lateral cephalogram and orthopantamogram- Group I

 
thumb

Figure 5: 6-month postoperative lateral cephalogram and orthopantamogram- Group I

 
thumb

Figure 6: Preoperative lateral cephalogram and orthopantamogram-Group II

 
thumb

Figure 7: 1-week postoperative lateral cephalogram and orthopantamogram- Group II

 
thumb

Figure 8: 6-month postoperative lateral cephalogram and orthopantamogram- Group II

 
thumb

Figure 9: Cephalometric landmarks

 

The vertical and sagittal plane measurements were made from the following reference points.

  • I. From PNS, a perpendicular was drawn on to the FH plane. This point was termed PNS1

  • II. From point M, a perpendicular was drawn on to the FH plane. This point was termed M1.

  • III. From Nasion a perpendicular was drawn to the FH Plane. This point was termed N1.

Vertical measurements

  • i. Posterior vertical measurements: PNS-PNS1

  • ii. Anterior vertical measurements: M-M1

Sagittal measurements

  • i. Anterior palatal measurements: M1-N1

  • ii. Posterior palatal measurements: PNS1-N1

Statistical analysis

Statistical Analysis SPSS (Windows version 22.0) was conducted using inferential statistics, such as an independent t test, to compare changes in occlusion between Group I (patients who underwent wire osteosynthesis) and Group II (patients who underwent rigid fixation) in the preoperative and 6-month postoperative period and skeletal changes in Group I (wire osteosynthesis) and Group II (rigid fixation), in the preoperative, 1-week, and 6-month postoperative periods. A paired t test was conducted to evaluate the changes in occlusion between Group I (wire osteosynthesis) and Group II (rigid fixation) during the preoperative and 6-month postoperative periods. ANOVA (analysis of variance) was used to assess the skeletal changes within Group I (wire osteosynthesis) and Group II (rigid fixation) in the preoperative, 1-week postoperative, and 6-month postoperative periods.

Ethical considerations

Ethical clearance was obtained from the Institutional Ethical Committee IEC/01/2011/MNDC, as well as informed consents were obtained from individual participants before the surgical procedure.

RESULTS

Skeletal stability comparison: Group I and Group II

  1. Comparison of posterior vertical measurement PNS-PNS1 between Group I (wire osteosynthesis) and Group II (rigid fixation) [Table 1].

    There was a significant difference in the posterior vertical measurement (PNS-PNS1) between Group I and Group II during the T1 (P = 0.006), T2 (P = 0.018), and T3 (P = 0.008) periods.

  2. Comparison of anterior vertical measurement M-M’ between Group I (wire osteosynthesis) and Group II (rigid fixation) [Table 2].

    There was no significant difference in the anterior vertical measurement (M-M1) between Group I and Group II in the T1 (P = 0.185), T2 (P = 0.184), and T3 (P = 0.116).

  3. Comparison of posterior sagittal measurement (PNS1-N1) total between Group I (wire osteosynthesis) and Group II (rigid fixation) [Table 3].

    There was no significant difference in the posterior sagittal measurement (PNS1-N1) between Group I and Group II in the T1 (P = 0.107), T2 (P = 0.095), and T3 (P = 0.065).

  4. Comparison of anterior sagittal measurement M1-N1 total between Group I (wire osteosynthesis) and Group II (rigid fixation) [Table 4].

    There was no significant difference in the anterior sagittal measurement M1-N1 between Group I and Group II in the T1 (P = 0.064), T2 (P = 0.128), and T3 (P = 0.239) [Graphs 14].

Table 1: Comparison of posterior vertical measurement between Groups I and II

Stage Group Mean ± SD N t P
T1 Rigid fixation 24.8 ± 1.5 8 3.23* 0.006
Wire osteosynthesis 30.6 ± 4.9 8
T2 Rigid fixation 23.0 ± 1.5 8 2.69* 0.018
Wire osteosynthesis 27.4 ± 4.3 8
T3 Rigid fixation 23.5 ± 1.3 8 3.07* 0.008
Wire osteosynthesis 28.8 ± 4.7 8

T1 = Preoperative, T2 = 1-week postoperative, T3 = 6-month postoperative

* Significant at P < 0.05

 

Table 2: Comparison of anterior vertical measurement between Groups I and II

Stage Group Mean ± SD N t P
T1 Rigid fixation 31.8 ± 1.3 8 1.4 0.185
Wire osteosynthesis 34.1 ± 4.5 8
T2 Rigid fixation 26.0 ± 1.3 8 1.4 0.184
Wire osteosynthesis 28.9 ± 5.7 8
T3 Rigid fixation 26.4 ± 1.3 8 1.67 0.116
Wire osteosynthesis 29.8 ± 5.5 8

T1 = Preoperative, T2 = 1-week postoperative, T3 = 6-month postoperative

*Significant atP < 0.05

 

Table 3: Comparison of posterior sagittal measurement between Groups I and II

Stage Group Mean ±SD N t P
T1 Rigid fixation 53.1 ± 5.0 8 1.72 0.107
Wire osteosynthesis 57.5 ± 5.1 8
T2 Rigid fixation 49.9 ± 5.3 8 1.79 0.095
Wire osteosynthesis 54.7 ± 5.5 8
T3 Rigid fixation 50.0 ± 5.2 8 2.01 0.065
Wire osteosynthesis 55.4 ± 5.6 8

T1 = Preoperative, T2 = 1-week postoperative, T3 = 6-month postoperative

*Significant atP < 0.05

 

Table 4: Comparison of anterior sagittal measurement between Groups I and II

Stage Group Mean± SD N t P
T1 Rigid fixation 10.7 ± 2.8 8 2.01 0.064
Wire osteosynthesis 8.0 ± 2.5 8
T2 Rigid fixation 6.9 ± 2.6 8 1.62 0.128
Wire osteosynthesis 5.0 ± 2.0 8
T3 Rigid fixation 7.0 ± 2.4 8 1.23 0.239
Wire osteosynthesis 5.6 ± 2.1 8

T1 = Preoperative, T2 = 1-week postoperative, T3 = 6-month postoperative

*Significant atP < 0.05

 
thumb

Graph 1: Comparison of posterior vertical measurement between the Group I and II

 
thumb

Graph 2: Comparison of anterior vertical measurement between the Group I and II

 
thumb

Graph 3: Comparison of posterior sagittal measurement between the Group I and II

 
thumb

Graph 4: Comparison of anterior sagittal measurement between Group I and II

 

Skeletal stability - Group I (wire osteosynthesis)

  1. Comparison of posterior vertical measurement PNS- PNS1 at different periods of time for group I (wire osteosynthesis) [Table 5].

    There was a significant difference exist in the posterior vertical measurement through the different periods of measurements. Pairwise comparison using Bonferroni’s test showed that there was a significant difference between T1 and T2 (P = 0.004) and T1 and T3 (P = 0.017), with no significant difference in T2 and T3 (P = 0.084)

  2. Comparison of anterior vertical measurement M-M’ at different periods of time for group I (wire osteosynthesis) [Table 6].

    There was a significant difference existing in the anterior vertical measurement through the different periods of measurements. Pairwise comparison using Bonferroni’s test shows that there was a significant difference between T1 and T2 (P = 0.000) and T1 and T3 (P = 0.000), where there was no significant difference in T2 and T3 (P = 0.123).

  3. Comparison of posterior sagittal measurement PNS’-N’ at different periods of time for group I (wire osteosynthesis) [Table 7].

    There was a significant difference in the posterior sagittal measurement through the different periods of measurements. Pairwise comparison using Bonferroni’s test shows that there was a significant difference between T1 and T2 (P = 0.000) and T1 and T3 (P = 0.001), where there was no significant difference in T2 and T3 (P = 0.144).

  4. Comparison of anterior sagittal measurement M’-N’ at different periods of time for group I (wire osteosynthesis) [Table 8].

    There was a significant difference exist in the anterior sagittal measurement through the different periods of measurements. Pairwise comparison using Bonferroni’s test shows that there was a significant difference between T1 and T2 (P = 0.000) and T1 and T3 (P = 0.001), where there was no significant difference in T2 and T3 (P = 0.144).

Table 5: Comparison of posterior vertical measurement at different periods of time –Group I

Stage Mean±SD Test of significance Pairwise comparison
N F P Pair Mean Diff. P
T1 30.6 ± 4.9 8 18.53* 0.000 T1 & T2 3.25* 0.004
T2 27.4 ± 4.3 8 T1 & T3 1.88* 0.017
T3 28.8 ± 4.7 8 T2 & T3 1.38 0.084

T1=Preoperative, T2 = 1-week postoperative, T3 = 6-month postoperative

* Significant at P < 0.05

 

Table 6: Comparison of anterior vertical measurement at different periods of time- Group I

Stage Mean±SD Test of significance Pairwise comparison
N F P Pair Mean Diff. P
T1 34.1 ± 4.5 8 64.28* 0.000 T1 & T2 5.19* 0.000
T2 28.9 ± 5.7 8 T1 & T3 4.31* 0.000
T3 29.8 ± 5.5 8 T2 & T3 0.88 0.123

T1 = Preoperative, T2 = 1-week postoperative, T3 = 6-month postoperative

* Significant at P < 0.05

 

Table 7: Comparison of posterior sagittal measurement at different periods of time –Group I

Stage Mean±SD Test of significance Pairwise comparison
N F P Pair Mean Diff. P
T1 57.5 ± 5.1 8 67.77* 0.000 T1 & T2 2.81* 0.000
T2 54.7 ± 5.5 8 T1 & T3 2.4* 0.001
T3 55.4 ± 5.5 8 T2 & T3 0.38* 0.144

(T1=Preoperative, T2 = 1-week postoperative, T3 = 6-month postoperative)

* significant atP < 0.05

 

Table 8: Comparison of anterior sagittal measurement at different periods of time – Group I

Stage Mean±SD Test of significance Pairwise comparison
N F P Pair Mean Diff. P
T1 8.0 ± 2.5 8 58.87* 0.000 T1 & T2 3* 0.000
T2 5.0 ± 2.0 8 T1 & T3 2.6* 0.001
T3 5.4 ± 1.9 8 T2 & T3 0.38 0.144

T1 = Preoperative, T2 = 1-week postoperative, T3 = 6-month postoperative

* Significant atP < 0.05

 

Skeletal stability -Group II rigid fixation

  1. Comparison of posterior vertical measurement PNS-PNS1 at different periods of time for group II (rigid fixation) [Table 9].

    There was a significant difference exist in the posterior vertical measurement through the different periods of measurements. Pairwise comparison using Bonferroni’s test showed that there was no significant difference between T1 and T2 (P = 0.077), between T1 and T3 (P = 0.285), and T2 and T3 (P = 0.826).

  2. Comparison of anterior vertical measurement M- M1 at different periods of time for group II (rigid fixation) [Table 10].

    There was a significant difference in the anterior vertical measurement through the different periods of measurements. Pairwise comparison using Bonferroni’s test showed that there was a significant difference between T1 and T2 (P = 0.000) and T1 and T3 (P = 0.000), where there was no significant difference between T2 and T3 (P = 0.591).

  3. Comparison of posterior sagittal measurement PNS1-N1 at different periods of time for group II (rigid fixation) [Table 11].

    There was a significant difference in the posterior sagittal measurement through the different periods of measurements. Pairwise comparison using Bonferroni’s test showed that there was a significant difference between T1 and T2 (P = 0.001) and T1 and T3 (P = 0.003), where there was no significant difference between T2 and T3 (P = 1.000).

  4. Comparison of anterior sagittal measurement M1-N 1at different periods of time for group II (rigid fixation) [Table 12].

    There was a significant difference exist in the anterior sagittal vertical measurement through the different periods of measurements. Pairwise comparison using Bonferroni’s test showed that there was a significant difference between T1 and T2 (P = 0.000) and T1 and T3 (P = 0.000), where there was no significant difference in T2 and T3 (P = 1.000).

Table 9: Comparison of posterior vertical measurement at different periods of time –Group II

Stage Mean±SD Test of significance Pairwise comparison
N F P Pair Mean Diff. P
T1 24.8 ± 1.5 8 4.96* 0.023 T1 & T2 1.75 0.077
T2 23.0 ± 1.5 8 T1 & T3 1.25 0.285
T3 23.5 ± 1.3 8 T2 & T3 0.5 0.826

(T1=Preoperative, T2 = 1-week postoperative, T3 = 6-month postoperative)

* significant atP < 0.05

 

Table 10: Comparison of anterior vertical measurement at different periods of time- Group II

Stage Mean±SD N F P Pair Mean Diff. P
T1 31.8 ± 1.3 8 180.64* 0.000 T1 & T2 5.75* 0.000
T2 26.0 ± 1.3 8 T1 & T3 5.38* 0.000
T3 26.4 ± 1.3 8 T2 & T3 0.38 0.591

T1 = Preoperative, T2 = 1-week postoperative, T3 = 6-month postoperative

* Significant atP < 0.05

 

Table 11: Comparison of posterior sagittal measurement at different periods of time –Group II

Stage Mean±SD Test of significance Pairwise comparison
N F P Pair Mean diff. P
T1 53.1 ± 5.0 8 26.34* 0.001 T1 & T2 3.25* 0.001
T2 49.9 ± 5.3 8 T1 & T3 3.13* 0.007
T3 50.0 ± 5.2 8 T2 & T3 0.13 1.000

T1 = Preoperative, T2 = 1-week postoperative, T3 = 6-month postoperative

* Significant atP < 0.05

 

Table 12: Comparison of anterior sagittal measurement at different periods of time – Group II

Stage Mean±SD Test of significance Pairwise comparison
N F P Pair Mean diff. P
T1 10.7 ± 2.8 8 139.34* 0.000 T1 & T2 3.81* 0.000
T2 6.9 ± 2.6 8 T1 & T3 3.69* 0.000
T3 7.0 ± 2.4 8 T2 & T3 0.13 1.000

T1 = Preoperative, T2 = 1-week postoperative, T3 = 6-month postoperative

* Significant atP < 0.05

 

DISCUSSION

Orthognathic surgery is a highly intricate surgical procedure that aims to rectify facial deformities, which can have a profound impact on a patient’s dental occlusion and overall facial aesthetics. This demanding procedure necessitates a seamless collaboration between a maxillofacial surgeon and an orthodontist to achieve optimal outcomes for the patient. The surgical team must be well-trained in facial analysis and have a strong understanding of the maxillofacial skeleton to achieve excellent surgical outcomes. Treating maxillofacial anomalies is a unique endeavor that requires particularly trained surgeons with significant knowledge of both anatomy and surgical techniques. This is essential in achieving successful bony reconstruction and attaining excellent surgical results. This study compares the skeletal stability in patients undergoing Le Fort I and anterior segmental maxillary osteotomy, with wire or rigid fixation, for maxillary excess correction. Sickels et al., Proffit et al., and Vijay et al. stated that maxillary superior repositioning is a stable procedure.[10-12] Our study conclusively demonstrates that there is no significant difference in skeletal stability between rigid and wire fixation, except in the posterior maxillary region, which is not clinically significant. Furthermore, similar to previous studies, we found no significant difference in the anterior maxilla after segmentation in both groups I and II. In our study, similar to the findings of Turvey et al.,[13] Winfried et al.,[14] and Kato et al.,[15] we observed no significant difference in the anterior maxilla after segmentation, both in the vertical and sagittal planes postoperatively in both groups I and II.

According to Kerkmanov et al.[16] and Fischer et al.,[17] there is no significant difference in the skeletal stability with or without maxillo-mandibular fixation in wire fixation. In our study, the maximum superior repositioning in Group I (wire fixation) was found to be 7 mm, and no postoperative maxillo-mandibular fixation was necessary. Fourteen patients from both Group I (wire fixation) and Group II (rigid fixation) underwent genioplasty performed by a single surgeon, resulting in stable postoperative outcomes without the need for maxillo-mandibular fixation.

In our study, there was no significant difference in skeletal stability between Group I (wire fixation) and Group II (rigid fixation), except in the posterior maxilla. Christopher et al.[18] in their study of 20 patients who had undergone Le Fort I down-fracture with rigid fixation reported a vertical relapse of 0.38 ± 1.01 mm at the posterior maxilla and vertical relapse of 0.69 ± 0.89 mm at the anterior maxilla. Haers et al.[19] reported a vertical relapse of 0.2 ± 1.0 mm at the posterior maxilla and 0.4 ± 1.3 mm vertical relapse in the anterior maxilla during the 1-year postoperative period, in their study of 19 cases of maxillary intrusion and fixation with wire osteosynthesis. In their comparative study, Murray et al.[20] reported a vertical relapse of 0.67 ± 0.75 mm and 0.78 ± 1.13 mm over 1 year at the posterior maxilla for both 2-plate and 4-plate rigid fixation, demonstrating the potential differences in outcomes between the two fixation methods. In the anterior maxilla, a vertical replacement of 0.54 ±0.89 mm and 0.56 ± 0.68 mm was reported. In our study, we found the vertical relapse in Group I (wire fixation) was 1.38 ± 0.3 mm and 0.5 ± 0.2 mm in Group II (rigid fixation) at the posterior maxilla, and in the anterior maxilla, the vertical relapse was 0.88 ± 0.3 mm in the Group I (wire fixation) and Group II (rigid fixation) 0.38 ± 0.00 mm during the 6-month postoperative period (T3). In our study on the sagittal plane, a vertical relapse of 0.38 ± 0.1 mm posteriorly and 0.38 ± 0.1 mm anteriorly in Group I (wire osteosynthesis) and 0.13 ± 0.1 mm posteriorly and 0.13 ± 0.2 mm anteriorly in Group II (rigid fixation) were noted. Christopher et al.[18] reported a relapse of 0.38 ± 0.61 mm posteriorly and 0.41 ± 0.59 mm anteriorly, in the sagittal plane. Murray et al.[20] reported a relapse of 0.68 ± 0.65 mm and 1.03 ± 0.99 mm at the anterior maxilla at the sagittal plane in their comparative study of 2- and 4-plate fixations. Haers et al.[19] reported a relapse of 1.0 ± 0.9 mm at the anterior maxilla in the sagittal plane for maxillary intrusion and fixation with wire osteosynthesis.

In order to draw a statistically significant conclusion regarding the potential superiority of wire osteosynthesis or rigid fixation in terms of postoperative stability, it is imperative to conduct further data collection and prospective research involving a more extensive sample size with participants exhibiting diverse facial characteristics. This will help confirm any true differences between the interventions Kloukos et al.[21] Ueki et al.[22] said that the results showed that stability did not depend on the use or otherwise of Biopex(®). The intragroup analysis showed no statistically significant difference in skeletal stability between Groups I (Wire) and II (Rigid) in both vertical and sagittal directions. There was a relapse in both Groups I (wire) and II (rigid). In our study, the relapse was less than 2 mm in both Groups I and II. Profit et al.[23] stated in their study of 28 patients that changes in the postoperative period of vertical relapse between 2 and 4 mm are considered to be significant.

Based on the research by Anyanechi et al.[24] and Will et al.[25] it has been suggested that wire osteosynthesis is capable of sustaining forces and movements during the wire fixation period, facilitating the alignment of the callus and enabling the teeth to accommodate minor skeletal changes. This indicates that in current practice, this method may continue to be valuable, especially in settings with limited access to rigid internal fixation equipment. Van Sickels[26] reported that in rigid fixation, there are more occlusion-related problems as compared with those with wire osteosynthesis. The comparison of the two groups I (wire fixation, Figure 10) and II (rigid fixation, Figure 11) revealed that skeletally both groups I and II had a relapse in the 6-month postoperative period but not to a significant level. Group I had more relapse than Group II in the posterior maxilla.

thumb

Figure 10: Group I (wire osteosynthesis) preoperative and postoperative

 
thumb

Figure 11: Group II (rigid osteosynthesis) preoperative and postoperative

 

CONCLUSION

In orthognathic surgery, minor post-surgical relapse is anticipated as the bone and soft tissues adapt to their new position. Comparing the results of the skeletal stability for both wire and rigid fixation revealed similar results, except in the posterior maxilla. As the occlusal stability is supposed to be achieved more easily with wire osteosynthesis, wire osteosynthesis can be considered a better stable form of fixation than rigid fixation for stabilization of superior repositioning of the maxilla using Le Fort I and anterior maxillary osteotomy for correction of vertical and anteroposterior maxillary excess.

Cutting-Edge Advances in Knowledge and Application

This research study contributes to the existing global literature on skeletal stability techniques, focusing on the two most commonly preferred methods. It underscores the necessity of providing health education specifically tailored to patients seeking aesthetic surgery for jaw correction.

Declaration of patient consent

All appropriate patient consent forms were obtained. In the form, the patient has given his consent for his images and other clinical information to be reported in the journal. The patient understand that name and initials will not be published, and due efforts will be made to conceal identity, but anonymity cannot be guaranteed.

Financial support and sponsorship

Nil.

Conflicts of interest

There are no conflicts of interest.

REFERENCES

1. Von Langenbeck B. Beitrange zur Osteoplastik. In:Goschen A, editor. Die osteoplastiche Resektion des Oberkierers. Deutsche Klinik. Berlin:Reimer;1859 [Google Scholar]

2. Tauro DP, Uppada UK. Paramedian unilateral Le Fort I osteotomy. Ann Maxillofac Surg 2015;5:82-4.[CrossRef] [PubMed] [PubMed Central] [PubMed Central] [Google Scholar]

3. Halvorson EG, Mulliken JB. Cheever's double operation:the first Le Fort I osteotomy. Plast Reconstr Surg 2008;121:1375-81. [CrossRef] [PubMed] [Google Scholar]

4. Wassmund M. Lehrbuch der praktischen, Chirungie des, Mundes der Kiefer. 1st ed. Leipzig:Meusser;1935. 277-282. [Google Scholar]

5. Peraciaccanie VJ, Bays RA. Maxillary orthognathic surgery. In:Miloro M, Ghali GE, Larsen P, Waite P, editors. Peterson's Principles of Oral and Maxillofacial Surgery. Philadelphia, PA:J. B. Lippincott;1992. 1179 [PubMed Central] [Google Scholar]

6. Bell WH, Mannai C, Luhr HG. Art and science of the Le Fort I down fracture. Int J Adult Orthodon Orthognath Surg 1988;3:23-52. [PubMed] [Google Scholar]

7. Cohn-Stock G. Die cbirurgische Immedia-tregulierung der Kiefer, speziell die chirur-gische. Behandlung der Prognathie. Vjschr ZahnheilkBerlin. 1921;37:320. [Google Scholar]

8. Gupta A, Sharma SD, Kataria V, Bansal P, Sharma R. Experience with Anterior Maxillary Osteotomy Techniques:A Prospective Study of 20 Cases. J Maxillofac Oral Surg. 2020;19:119-24. [CrossRef] [PubMed] [PubMed Central] [Google Scholar]

9. K Wunderer S. Erfahrungen mit der operativen Behandlung hoch- gradiger Prognathien. Dtsch Zahn Mund Kieferheilk 1963;39:451. [Google Scholar]

10. Van Sickels JE, Richardson DA. Stability of orthognathic surgery:A review of rigid fixation. Br J Oral Maxillofac Surg 1996;34:279-85. [CrossRef] [PubMed] [Google Scholar]

11. Profit WR, Turvey TA, Phillips C. The hierarchy of stability and predictability in orthognathic surgery with rigid fixation:An update and extension. Head Face Med 2007;3:21. [CrossRef] [PubMed] [PubMed Central] [Google Scholar]

12. Vijay N, Shetty KS, Daryanani JD. Orthodontic-surgical management of a skeletal class II patient with reverse smile arc and vertical maxillary excess. J Indian Orthodontic Soc 2014;48:54-61. https://doi.org/10.5005/jp-journals-10021-1218 [CrossRef] [Google Scholar]

13. Turvey TA, Philips C, Zaytoun HS, Proffit WR. Simultaneous superior repositioning of the maxilla and mandibular advancement. Am J Orthod Dentofac Orthop 1988;94:372-83. [CrossRef] [PubMed] [Google Scholar]

14. Kretschmer WB, Baciut G, Baciut M, Zoder W, Wangerin K. Stability of Le Fort I Osteotomy in Bimaxillary Osteotomies:Single-Piece Versus 3-Piece Maxilla. J Oral Maxillofac Surg 2010;68:372-80. [CrossRef] [PubMed] [Google Scholar]

15. Kato RM, Gonçalves JR, Ignacio J, Wolford L, de Mello PB, Parizotto J, et al. Is three-piece maxillary segmentation surgery a stable procedure?Korean J Orthod 2024;54:128-35. [CrossRef] [PubMed] [PubMed Central] [Google Scholar]

16. Krekmanov L, Lilja J, Ringqvist M. Simultaneous correction of maxillary and mandibular dentofacial deformities without the use of postoperative inter maxillary fixation. Int J Oral Maxillofac Surg 1988;17:363-70. [CrossRef] [PubMed] [Google Scholar]

17. Fischer K, Von Konow L, Brattstrom V. Open bite:Stability after bimaxillary surgery -2 years treatment outcomes in 58 patients. Eur J Orthod 2000;22:711-8. [CrossRef] [PubMed] [Google Scholar]

18. Christopher CW, Nanda RS, Currier GF. The Skeletal Stability of Le Fort I Downfracture Osteotomies With Rigid Fixation. J Oral Maxillofac Surg 1989;47:922-5. [CrossRef] [PubMed] [Google Scholar]

19. Haers PE, Oechslin C, Sailer HF. Is wire osteosynthesis obsolete for fixation of Le Fort I osteotomies?Oral Surg Oral Med Oral Pathol Oral Radiol Endod 1999;88:391-4. [CrossRef] [PubMed] [Google Scholar]

20. Murray RA, Upton LG, Rottman KR. Comparison of the postsurgical stability of the Le Fort I osteotomy using 2- and 4-plate fixation. J Oral Maxillofac Surg 2003;61:574-9. [CrossRef] [PubMed] [Google Scholar]

21. Kloukos D, Fudalej P, Sequeira-Byron P, Katsaros C. Maxillary distraction osteogenesis versus orthognathic surgery for cleft lip and palate patients. Cochrane Database Syst Rev 2018;8:CD010403. [CrossRef] [PubMed Central] [PubMed] [Google Scholar]

22. Ueki K, Okabe K, Marukawa K, Mukozawa A, Moroi A, Miyazaki M, et al. Maxillary stability after Le Fort I osteotomy with selfsetting a-tricalcium phosphate and an absorbable plate. Int J Oral Maxillofac Surg 2013;42:597-603. [CrossRef] [PubMed] [Google Scholar]

23. Profit WR, Bailey LJ, Phillips C, Turvey TA. Long-term stability of surgical open-bite correction by Le Fort I osteotomy. Angle Orthod 2000;70:112-7. [Google Scholar]

24. Anyanechi CE, Osunde OD, Saheeb BD. Complications of the use of trans-osseous wire osteosynthesis in the managementof compound, unfavorable and non-comminuted mandibular angle fractures. Ghana Med J. 2016;50:172-9. [CrossRef] [PubMed] [PubMed Central] [Google Scholar]

25. Will L, Joondeph D, Hohl T, West R. Condylar position following mandibular advancement. J Oral Maxillofacial Sug 1984;42:578-88. [CrossRef] [PubMed] [Google Scholar]

26. Van Sickels JE, Jeter TD, Aragon SB. Rigid fixation of maxillary osteotomies:A preliminary report and technique article. Oral Surg Oral Med Oral Pathol 1985;60:262-5. https://doi.org/10.1016/0030-4220(85)90308-1 PMid:3862037 [Google Scholar]