Laser-assisted management of peripheral ossifying fibroma: Perplexity in diagnosis

Gayathri Somashekar, Yamini Rajachandrasekaran, Sumathi H. Rao, Geetha Thirugnanasambandam, Deepa Chandrashekaraiah

Department of Periodontology, Sathyabama Dental College and Hospital, Chennai, Tamil Nadu, India


Address for correspondence: Dr. Gayathri Somashekar, Department of Periodontics, Sathyabama Dental College and Hospital, Chennai - 600 119, Tamil Nadu, India. E-mail: gayathri.agrahar@gmail.com


Submitted: 16-Aug-2022

Revised: 17-Sep-2022

Accepted: 17-Oct-2022

Published: 27-Dec-2022

DOI: 10.4103/sidj.sidj_12_22

Saint Int Dent J 2022;6:48-51.

Copyright: © 2022 The Saint's International Dental Journal

Licence

This is an open access journal, and articles are distributed under the terms of the Creative Commons Attribution-NonCommercial-ShareAlike 4.0 License, which allows others to remix, tweak, and build upon the work non-commercially, as long as appropriate credit is given and the new creations are licensed under the identical terms.

Disclaimer:

This article was originally published by Wolters Kluwer Medknow Publications & Media Pvt ltd and has now been officially transferred to Society of Dental Research & Education due to a change in publishing entity.


ABSTRACT

Peripheral ossifying fibroma (POF) is the most common reactive gingival lesion. The cause and pathology are well understood. Peripheral giant cell granuloma, pyogenic granuloma, fibroma, and peripheral fibroma are among the differential diagnoses. The confirmed diagnosis for POF is based on histopathological evidence. A healthy 49-year-old man with fibrous swelling in the lower left anterior region of his jaw is discussed in this case report. Excisional biopsy was performed utilizing a diode laser in pulse mode at 980 nm. The patient was monitored for a year, and there was no recurrence.

Keywords: Diode laser, gingival biopsy, peripheral ossifying fibroma


INTRODUCTION

Reactive gingival lesions are hyperplastic growths that develop as a result of minor irritation or injuries.[1] Such reactive lesions most often occur in the gums, followed by the tongue, palate, cheeks, and floor of the mouth, which are less common. It is challenging to diagnose these reactive lesions since their clinical appearance resembles that of malignant lesions.[1] The diagnosis of lesions is confirmed using clinical, radiographic, and histological data. Fibrous and vascular reactive lesions can also be categorized based on histological findings.[2]

The second most common gingival lesion after inflammatory fibrous hyperplasia, which most frequently develops from the interdental papilla, is the peripheral ossifying fibroma (POF), a soft tissue mass made of reactive fibrous tissue that can have a smooth, soft surface and take a variety of forms from light cherry red to light rosy red. Peripheral fibroma with odontogenesis, calcifying fibroblastic granuloma, and peripheral cementifying fibroma are just a few of the names used in the literature. Eversole and Rovin coined the lesion as POF in 1972.[3,4] The predominant clinical feature is a histopathological examination where POF is composed of cellular fibroblastic tissue and contains one or more mineralized tissue, bone cementum-like material, and dystrophic calcifications.[5,6] Lasers have become more widely used in dentistry, with the diode laser being an effective soft-tissue laser.[7]

We present the case report of a 49-year-old male patient who developed a fibrous swelling in the region of the left lower jaw, where excision was performed using a 980-nm wavelength diode laser.

CASE REPORT

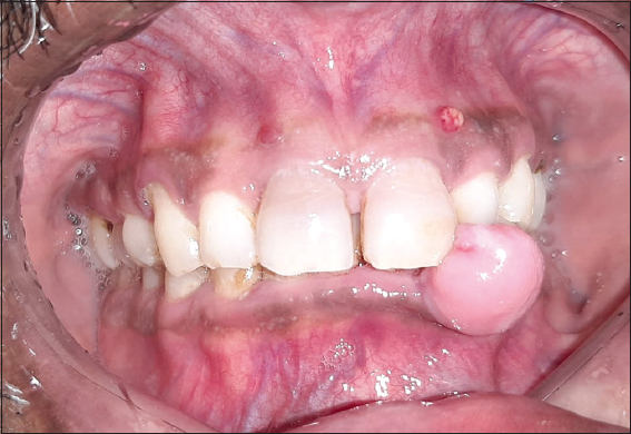
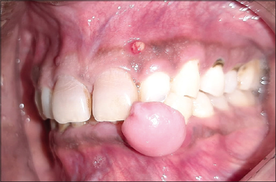
A 49-year-old man with a 4-year history was presented to the outpatient periodontics department for evaluation of a painless, slowly growing, firm gingival mass in the left lower front tooth region [Figure 1]. Its enlargement began as a small nodule and progressed till it impinged on mastication. He had no relevant medical history and was not on any medication. Intraoral examination revealed a single sessile swelling of approximately 10 mm × 7 mm that extended mesiodistally from teeth #32 to #33 and attached intraorally in the left lower gingiva [Figure 2].

thumb

Figure 1: Preoperative view

 
thumb

Figure 2: Extension of the swelling

 

On palpation, the growth was smooth and nontender, with no evidence of pus or superficial ulceration. Periapical radiographs of #32 and #33 revealed a widening of the periodontal ligament space [Figure 3]. The clinical differential diagnoses of POF are pyogenic granuloma, and irritation fibroma. Fibroma was indicated as a preliminary diagnosis. Periodontal health is a requirement for successful treatment outcomes.[8] The patient had moderate calculus and mild gingival inflammation. Oral prophylaxis and oral hygiene instructions were provided as part of Phase 1 therapy. The patient was recalled after 2 weeks to review periodontal maintenance and resolution of gingivitis. There was no change in the size of the lesion.

thumb

Figure 3: Intra oral periapical radiograph

 

Following routine blood examinations, laser assisted excision under local anesthesia of the lesion, was performed to 1 mm from the clinical range; the patient had no postoperative pain or discomfort. Homeostasis was achieved at the surgical site. Histopathological examination of the excised tissue [Figure 4] exhibited stratified squamous surface epithelium associated with fibrovascular connective tissue with spindle-shaped fibroblasts and collagen fibers [Figure 5]. Deeper connective tissue showed varied basophilic areas of mineralization with some foci appearing like dystrophic calcifications and woven bone-like ossifications. On correlating the clinical and histopathological findings, the confirmatory diagnosis was given as POF.

thumb

Figure 4: Excised tissue

 
thumb

Figure 5: Histopathology picture

 

DISCUSSION

Ossifying fibroma is a benign tumor that emerges from the craniofacial bones, is well demarcated from adjacent bone, and is characterized by proliferating fibroblasts interspersed with bone or calcified masses.[9] Central and peripheral are two broad categories. Extraoral swelling occurs when the nidus of origin is the endosteum/alveolar bone surrounding the periodontal ligament near the root apex.[9,10] The nidus of origin for POF is usually the soft-tissue tooth-bearing parts of the jaw.[9,10] The peripheral variants originate from the soft tissues surrounding the tooth-bearing parts of the jaw.

POF is a reactive lesion that develops from the gingival and alveolar mucosa. Clinically, it appears as a smooth-surfaced, hard, slowly growing nodule that is typically covered over the mucosa, which appears normal. POF is seen to exist for several months to years before excision. There have been reports of frequent occurrences in the maxilla’s incisor-cuspid region and interdentally papilla. POFs have a site predilection for the maxilla specifically favoring the interdental papilla and the incisor-cuspid region.

The lesion, in this case, was on the mandible, and it was seen on the left lateral incisor and canine. The patient had trouble eating when the swelling, which had initially appeared as a little nodule, grew in size to 10 mm × 7 mm. As a result, the patient had to visit our dental clinic for treatment. The lesion had slowly increased in size over a period of 4 years. This pattern of growth and the clinical features have been documented adequately in the scientific literature.[6,9] With relating to this POF case report, the pattern of growth and the clinical features have been documented adequately in the scientific literature.[6,9] It has been stated that POF with unknown etiology occurs in the age period of 10–30 years with an incidence of decreasing with age. The etiology of POF is unknown, but various predisposing factors have been enumerated such as trauma to the gingiva, plaque accumulation, calculus, masticatory forces, ill-fitting appliance and crowns, mutilated teeth, and poor-quality restoration. POF is proposed to have originated from the mesenchymal cells of the periodontal ligament since it frequently arises from the interdental papilla, which is an integral part of the gingiva and is in dynamic interaction with the periodontal ligament. Effiom et al., 2011,[7] reported a rate of occurrence of 0.5% in Nigerian adults. A retrospective study of POF in the Chinese population by Zhang et al., in 2007[8] reported a mean age of 44 years. This difference in the age of the clinical presentation in various countries can be attributed to ethnic diversity among the study population in various studies. In addition, oxytalan fibers are found in the mineralized matrix of the lesion. It is also considered to be inflammatory hyperplasia of the superficial periodontal ligament.[5] POF may occur as a secondary fibroma of long-standing pyogenic granuloma. The rare multicentric manifestation has been attributed to genetic factors. Studies have enumerated the hormonal influence in the occurrence of POF as there is a high incidence in females with increased occurrence in the second decade and it declines in the third decade.

In this case report, we present a systemically healthy 49-year-old male patient with a lesion on the mandibular gingiva which is contradictory to the other studies. The patient had an anterior deep bite leading to chronic irritation or trauma to the gingiva which may have caused POF. Depending on the duration of the lesion, the radiographic feature of POF ranges from no change to damaging changes.

Electrosurgery and radiosurgery are alternate options compared to routine surgical procedures; however, these procedures can cause thermal injury leading to regressive changes in tissues, and therefore being unsuitable for excisional biopsy of reactive gingival lesions.

To prevent excessive intraoperative bleeding and thermal tissue injury, we used a diode laser with a wavelength of 810 nm in pulse mode. Diode laser is effective for excisional biopsy and mucogingival surgery. Moreover, diode laser provides reduced hemorrhage, faster healing with minimal scarring, and reduced postoperative pain. Microarchitectural changes are minimal in the postoperative specimen. The treatment of oral lesions with diode laser radiation is a good, simple, and safe option. This treatment is nearly bloodless, with minimum postoperative edema and discomfort. There is less harm to adjacent tissues and improved sight with laser irradiation.

Laser surgery is less time-consuming, less painful, and more exact in the treatment of soft-tissue lesions, causes less scar tissue contraction, and maintains the elastic tissue qualities when compared to traditional procedures. Laser wounds heal quite quickly. Laser wounds heal slowly histopathological because of the capacity of the laser to seal blood vessels. Laser has a bactericidal effect when compared to conventional procedure and hence postsurgical infection and pain is minimized and this eliminates the need for antibiotics and analgesic

In this case, laser in pulse mood has been shown to cause less thermal effect when compared to continuous laser. Although the literature has shown recurrence rates for POF to be 7%–45%,[10] in our case, after a follow-up period of 1 year, no recurrence was noted. Thus, diode laser can be considered an alternative for conventional surgical procedures for excision of POF without comprising the histological diagnosis of the lesion. The advantages of diode lasers are lesser time consumed for the procedure, bloodless operatory field, and patient comfort.

CONCLUSION

POF is a slow-growing progressive reactive lesion that requires complete removal down to the periosteum and periodontal ligament to prevent a recurrence. Clinical findings of POF mimic various gingival lesions; hence, histopathological examination provides the confirmatory diagnosis. To facilitate correct patient evaluation and care, the identification of any reactive lesions necessitates the construction of a differential diagnosis. The diode laser can be an alternative promising treatment of choice for the complete excision of POF.

Declaration of patient consent

The authors certify that they have obtained all appropriate patient consent forms. In the form, the patient has given his consent for his images and other clinical information to be reported in the journal. The patient understands that his name and initials will not be published and due efforts will be made to conceal identity, but anonymity cannot be guaranteed.

Financial support and sponsorship

Nil.

Conflicts of interest

There are no conflicts of interest.

REFERENCES

1. Naderi NJ, Eshghyar N, Esfehanian H. Reactive lesions of the oral cavity:Aretrospective study on 2068 cases. Dent Res J(Isfahan) 2012;9:251-5. [Google Scholar]

2. Frydkjær AG, Krogerus C, Løvenwald JB. Pyogenic granuloma. Ugeskr Laeger 2021;183:V12200898. [Google Scholar]

3. Gomes SR, Shakir QJ, Thaker PV, Tavadia JK. Pyogenic granuloma of the gingiva:A misnomer?–A case report and review of literature. J Indian Soc Periodontol 2013;17:514-9. [CrossRef] [PubMed] [PubMed Central] [Google Scholar]

4. Eversole LR, Rovin S. Reactive lesions of the gingiva. J Oral Pathol 1972;1:30-8. [CrossRef] [CrossRef] [Google Scholar]

5. Mohiuddin K, Priya NS, Ravindra S, Murthy S. Peripheral ossifying fibroma. J Indian Soc Periodontol 2013;17:507-9. [CrossRef] [PubMed] [PubMed Central] [Google Scholar]

6. Aravinth R, Sathyanarayanan R, Ganesan P, Baskaran A, Vidyalakshmi S, Vandhana S. Peripheral ossifying fibroma:A rare case report with unusual size. J Adv Med Dent Sci Res 2021;9:54-7. [Google Scholar]

7. Effiom OA, Adeyemo WL, Soyele OO. Focal reactive lesions of the gingiva:An analysis of 314 cases at a tertiary health institution in Nigeria. Niger Med J 2011;52:35-40. [CrossRef] [PubMed] [PubMed Central] [Google Scholar]

8. Zhang W, Chen Y, An Z, Geng N, Bao D. Reactive gingival lesions:Aretrospective study of 2,439 cases. Quintessence Int 2007;38:103-10. [Google Scholar]

9. Shetty DC, Urs AB, Ahuja P, Sahu A, Manchanda A, Sirohi Y. Mineralized components and their interpretation in the histogenesis of peripheral ossifying fibroma. Indian J Dent Res 2011;22:56-61. [CrossRef] [PubMed] [Google Scholar]

10. Hasanoglu Erbasar GN, Senguven B, Gultekin SE, Cetiner S. Management of a recurrent pyogenic granuloma of the hard palate with diode laser:A case report. J Lasers Med Sci 2016;7:56-61. [CrossRef] [PubMed] [PubMed Central] [Google Scholar]