Biological restoration – Nature’s own alternative for primary care

Krishna Patil1, Sujatha Paranna2, Buneet Kaur3, Smita Patil1, Siddharth Shinde4

1Department of Pediatric and Preventive Dentistry, Bharati Vidyapeeth Deemed to be University Dental College and Hospital, Pune, Maharashtra, India, 2Department of Pediatric and Preventive Dentistry, Bharati Vidyapeeth Deemed to be University Dental College and Hospital, Sangli, Maharashtra, India, 3Private Consultant Pediatric and Preventive Dentist, New Delhi, India, 4Department of Orthodontics and Dentofacial Orthopedics, Bharati Vidyapeeth Deemed to be University Dental College and Hospital, Pune, Maharashtra, India


Address for correspondence: Dr. Krishna Patil, Department of Pedodontics, Bharati Vidyapeeth Dental College and Hospital, Sangli, Maharashtra, India. E-mail: krishnapatil1000@gmail.com


Submitted: 20-Jul-2021

Accepted in Revised Form: 14-Jan-2022

Published: 27-Jun-2022

DOI: 10.4103/sidj.sidj_12_21

Saint Int Dent J 2022;6:25-27.

Copyright: © 2022 The Saint's International Dental Journal

Licence

This is an open access journal, and articles are distributed under the terms of the Creative Commons Attribution-NonCommercial-ShareAlike 4.0 License, which allows others to remix, tweak, and build upon the work non-commercially, as long as appropriate credit is given and the new creations are licensed under the identical terms.

Disclaimer:

This article was originally published by Wolters Kluwer Medknow Publications & Media Pvt ltd and has now been officially transferred to Society of Dental Research & Education due to a change in publishing entity.


ABSTRACT

In humans, especially in childhood, the more prevalent disease is dental caries. Dental caries can extensively destroy the tooth structure. Extensive loss of the tooth structure and premature loss of the primary tooth can lead to loss of vertical dimension, developing habits such as tongue thrusting and mouth breathing that may lead to malocclusion in future. The treatment of mutilated primary teeth should adequately reestablish the anatomy of the tooth, which helps to maintain the mastication, phonation, esthetics, and acts as a natural space maintainer. It is always challenging for the pediatric dentist to satisfactorily restore these teeth to maintain space, esthetics, and function. In recent years, both children and their parents have given priority to esthetics over primary dental care. This demands the innovation and the development of newer treatment options that should be biological and conservative. Hence, natural teeth are increasingly being used as a restorative material to treat damaged teeth with this desire for innovation. As a result, here we report a case of a severely mutilated primary tooth of a 2½-year-old child treated with the technique of biological restoration. This biological restoration procedure involves bonding a sterile dental structure to a tooth that needs treatment.

Keywords: Biological restoration, innovation, natural tooth, primary teeth


INTRODUCTION

Dental caries in deciduous teeth that occur in children under the age of 8 years, frequently involving multiple surfaces, is known as early childhood caries. It is also known as nursing caries, nursing bottle caries, baby bottle caries, rampant caries, baby bottle tooth decay, milk bottle syndrome, and prolonged nursing habit caries. It is never easy for a pediatric dentist to treat a tooth with extensive destruction. In ancient times, teeth with significant decay or trauma to the anterior teeth were first extracted and then rehabilitated with dental prosthesis until the permanent teeth erupted.[1] Metal restorations for posterior teeth or open-faced stainless steel crown, strip crowns, full white ceramic crowns, or a combination of metal and esthetic restorations for anterior teeth are the most conventional restorative treatments available for severely damaged teeth. The metallic restoration has become the concern of many children as young as 3 years because of growing awareness regarding their appearance.[2] The loss of a child’s anterior teeth might damage their confidence and proper personality development and lead to odd oral habits and communication issues.[2] Improving the esthetics along with space management and function is challenging for pediatric dentists. Various authors have suggested the use of tooth structure to restore and rehabilitate mutilated anterior teeth as biologically and conservatively using the natural tooth as a restorative material.[3-5]

CASE REPORT

A 2½-year-old child patient reported to the Department of Pediatric and Preventive Dentistry with a chief complaint of broken teeth in the upper front region of the jaw. There was a loss of enamel and dentin on clinical examination due to caries in the left upper central and lateral incisors and dental caries with right central and lateral incisors [Figure 1]. Radiographic investigation revealed dental caries involving enamel, dentin, and pulp with loss of the tooth structure of the left upper central and lateral incisors. The present case report deliberates the use and clinical technique of biological restorations as possible and an efficient alternative treatment modality for rehabilitation of mutilated primary anterior teeth.

thumb

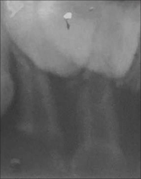
Figure 1: Preoperative radiograph

 

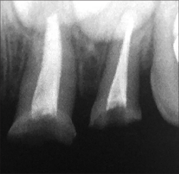
A single-visit pulpectomy (root canal treatment) of the upper left middle and lateral incisors was performed under local anesthesia [Figure 2]. Antibiotics and analgesics were prescribed, and the patient was recalled 3 days later for surgery. The patient’s parents insisted on tooth rehabilitation for esthetic reasons and because the eruption of permanent teeth takes a long time. The biological crown was created keeping the patient’s dental health in mind, as well as the parents’ wishes.

thumb

Figure 2: Postobturation radiograph

 

Preparation of biological endodontic post

The preserved extracted central and lateral incisor teeth were obtained from the tooth bank, the Department of Pedodontics, Bharati Vidyapeeth Dental College and Hospital, Sangli. These teeth were sterilized in an autoclave. Coronal and radicular pulp was removed and cleaned with H file along with normal saline irrigation, followed by sealing the coronal, radicular pulp, and the root apex with flowable composite and light cured. The root of central and lateral incisors was prepared to resemble the endodontic post.

Clinical technique

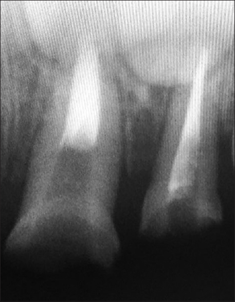
Two-third of the obturation material was removed from the upper left central and lateral incisors [Figure 3]. The trial fit of the endodontic post was done. On confirming the appropriate fit of the post, they were then conditioned with 37% phosphoric acid for 30 s, followed by washing, drying, and applying the adhesive system followed by cementation with resin-reinforced glass-ionomer cement. The shape and shade of the biological post and crown were modified to match the adjacent right central and lateral incisors, respectively. The parents were satisfied with the rehabilitation of the teeth using biological restoration [Figure 4].

thumb

Figure 3: Postspace preparation

 
thumb

Figure 4: Postoperative clinical Picture

 

DISCUSSION

The use of biological post and crown allows the preservation of sound tooth structure and provides excellent esthetics compared to composite resins and stainless steel crowns, especially regarding translucency, has low cost, offers superficial smoothness, cervical adaptation, and physiologic wear compatible with those of surrounding teeth. Biological restorations mimic the missing part of the oral structures and are also biofunctional. It is less subjected to extrinsic pigmentation and plaque accumulation when compared to composite resin. Considering the consent from the parent and the ethical aspect, parents or the guardian should be informed that the extracted tooth is obtained from the tooth bank and appropriate sterilization protocol has been followed for sterilization of extracted tooth which will further prevent the biosecurity risk.[4]

An in vitro study reported that biological posts when compared with carbon fiber and glass fiber post systems had a high fracture resistance.[6] The use of a single-bond adhesive biomechanical system for luting the dental structures with the biological post and the cementing agent will minimize the rate of adhesive and cohesive failure as there will be a better distribution of stress along the root.[7] Clinical chairside time for fragment bonding procedures is relatively short, which is very helpful in treating pediatric patients.

Disadvantages of biological restorations are that although the technique is simple, it requires professional expertise to adequately prepare and adapt the natural crowns to the cavity difficulty in obtaining teeth with the required coronal dimensions and shape. The patients might refuse to have fragments from other people’s teeth in their mouths. The use of fragile fragments where all the dentin is removed lowers the fracture resistance of bonded fragments. The described biological crowns and posts provide excellent esthetic, functional, and psychosocial benefit. Hence, the use of this technique justifies its clinical application to achieve the morphological and functional recovery of mutilated primary anterior teeth.[8]

CONCLUSION

In this case report, the use of biological restoration with a natural crown aid in the functional and esthetic recovery of the teeth and has a high clinical success rate. Both the children and their parents will be pleased with the therapy outcome. The biological restoration approach mentioned has clinical utility and is a cost-effective restorative procedure for both the primary and permanent teeth with significant damage.

Declaration of patient consent

The authors certify that they have obtained all appropriate patient consent forms. In the form, the legal guardian has given his consent for images and other clinical information to be reported in the journal. The guardian understands that names and initials will not be published and due efforts will be made to conceal identity, but anonymity cannot be guaranteed.

Financial support and sponsorship

Nil.

Conflicts of interest

There are no conflicts of interest.

REFERENCES

1. Indira MD, Singh Dhull K, Nandlal B, Kumar Ps P, Singh Dhull R. Biological restoration in pediatric dentistry: A brief insight. Int J Clin Pediatr Dent 2014;7:197-201. [CrossRef] [PubMed] [PubMed Central] [Google Scholar]

2. Kapur A, Chawla HS, Goyal A, Gaube K. An esthetic point of view in very young children. J Clin Pediatr Dent 2005;30:99-103. [CrossRef] [PubMed] [Google Scholar]

3. Ramires-Romito AC, Wanderley MT, Oliveira MD, Imparato JC, Corrêa MS. Biologic restoration of primary anterior teeth. Quintessence Int 2000;31:405-11. [PubMed] [Google Scholar]

4. Kumar BS, Kumar S, Mohan Kumar NS, Karunakaran JV. Biological post. J Pharm Bioallied Sci 2015;7 Suppl 2:S721-4. [CrossRef] [PubMed] [PubMed Central] [Google Scholar]

5. American Academy of Pediatric Dentistry. Pediatric restorative dentistry. In: The Reference Manual of Pediatric Dentistry. Chicago, Ill: American Academy of Pediatric Dentistry; 2020. p. 371-83. [Google Scholar]

6. Ambica K, Mahendran K, Talwar S, Verma M, Padmini G, Periasamy R. Comparative evaluation of fracture resistance under static and fatigue loading of endodontically treated teeth restored with carbon fiber posts, glass fiber posts, and an experimental dentin post system: An in vitro study. J Endod 2013;39:96-100. [CrossRef] [PubMed] [Google Scholar]

7. Kaizer OB, Bonfante G, Filho LD, Cardinal L, Reis KR. Utilization of biological posts to reconstruct weakened roots. Rev Gaucha Odontol 2008;56:7-13. [Google Scholar]

8. Shanthi M, Thimma, BV Reddy, Sekhar S, Bahruddin, Sothy R. Biological restoration: A simple method for reconstruction of severely damaged primary anterior teeth. Malays Dent J 2013;35 (Suppl):1-5. [Google Scholar]